April 2018 Issue
Feature Articles
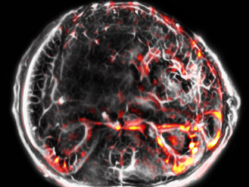
Optogenetics: Controlling Neurons with Photons
An advancing field of neuroscience uses light to understand how the brain works and to create new tools to treat disease.
by Valerie C. CoffeyMultiscale Photoacoustic Tomography
Photoacoustic tomography can bridge microscopic insights and macroscopic observations, providing imaging over a range of spatial scales—from organelles and cells to tissues, small animals and human organs.
by Lei Li, Li Lin and Lihong V. WangOptical Tweezers Bring Micromachines to Biology
Optical tweezers, using focused laser beams to manipulate objects on the nano- and microscale, allow exploration of a world of curiosities at the borderline between physics and biology.
by I.A. Favre-Bulle, S. Zhang, A.V. Kashchuk, I.C.D. Lenton, L.J. Gibson, A.B. Stilgoe, T.A. Nieminen and H. Rubinsztein-DunlopDepartments and Columns
Research and Industry News
Keeping radio telescopes in sync; optogenetic brain stimulation; a topological-insulator laser; assessing heart tissue; laser-driven micro-engine; boosting the sensitivity of NMR; prioritizing U.S. Science Research; Europe’s photonics vision.
Investing in the Brain
This month’s cover story looks at optogenetics, a field of neuroscience helping to advance our understanding of the differences between the healthy and diseased brain. As the world population ages, knowledge of neurodegenerative diseases is becoming increasingly important. Countries around the world are investing large sums of money to develop new technologies toward a lifelong healthy brain—but much more is needed.
Building a Photonics Cluster—From Scratch
The ambitious Mexican Photonics Initiative finds a home for its proposed industry hub.
Taking Control of Your Job Search
Alan E. Willner advocates for an “ABC” approach to job hunting that maximizes opportunity and minimizes regret.
Examining Illumination Optics
A recent OSA Incubator Meeting brought representatives of the entire illumination value creation chain together to talk about where the field is headed.
ADVERTISEMENT
ADVERTISEMENT
Also in this Issue
A Portfolio Society
30, 20 and 10 Years Ago in OPN
News from the Society
Urbasi Sinha wins ICO/ICTP award; Optical Society of Korea meeting; thank you, editors; Bennett joins the Florida Institute of Technology; OSA Fellow member stories; encouraging young scientists; IONS 2018 locations announced; March for Science 2018; thank you, volunteers.
![An experimental scheme demonstrated by researchers at Princeton and Yale universities, USA, can convert physical noise into errors that can be corrected more easily. [F. Wojciechowski, Princeton University]](jpg/202406-cover-web51fb.jpg)

![A multiplexed image of a human tonsil acquired. [NIAID] using the iterative bleaching extends multiplexity (IBEX) method.](jpg/202404-cover-web51fb.jpg)